С наступлением весны, когда снега начинают отступать, огородники готовятся к важному этапу — подкормке озимого чеснока. Это ключевой момент, который способствует получению необходимого питания для растений и ускоряет их...
Все новости
Новое увлекательное исследование предлагает уникальную возможность заглянуть в свою душу всего лишь с помощью простого теста. На этот раз внимание привлекает символ мудрости — сова. Оказавшись перед выбором одной из трёх чарующих сов, участники смогут...
В мире, где постоянное давление и ожидания подстегивают нас к гонке за успехом, важно помнить, что многое из того, что кажется значительным сейчас, в будущем теряет свою важность.
1. Погоня за совершенством
Стремление к идеалу часто становится...
Каждый из нас знает, как важна гигиена. Чистая кожа и свежий аромат тела способны поднять настроение и повысить уверенность в себе. Но вот куда более интересный вопрос: когда лучше принимать душ – утром или вечером? Откроем...
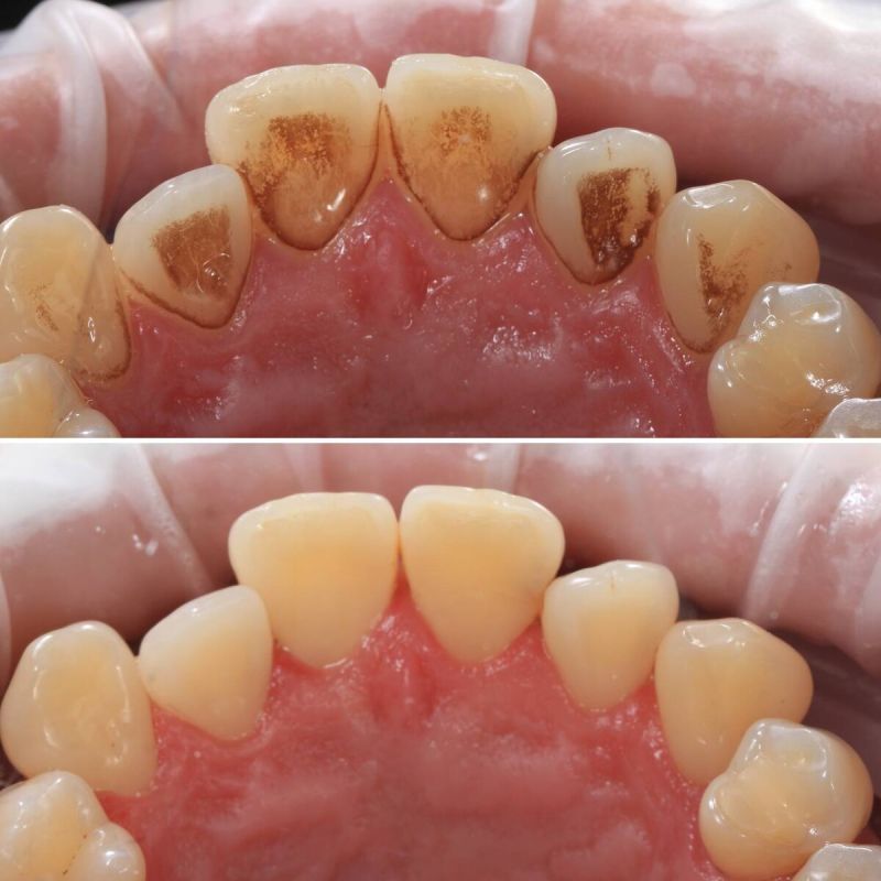
Желтый и темный налет на зубах — это не только эстетическая проблема, но и сигнал о недостаточной гигиене полости рта. Такие загрязнения появляются благодаря воздействию продуктов, таких как кофе и чай, а также из-за курения. Со временем эмаль зубов...
Искусственный камень стал неотъемлемой частью современных интерьеров, но его красота и долговечность во многом зависят от правильного ухода. Как обеспечить вашему каменному покрытию привлекательный вид и продлить его жизнь?...
Жители дома 6 по улице Батова обратились с просьбой разъяснить им порядок оказания помощи людям, пострадавшим от падения сбитых беспилотных летательных аппаратов и их обломков. По решению Волгоградской городской Думы, компенсации назначаются в...
С приходом теплых дней пора делать перестановки не только в планах на отдых, но и в доме. Побродив по огороду, насладившись солнцем, стоит уделить внимание тому, что следует убрать до наступления осени. Вот шесть ключевых...
Расхламление – это не просто популярная практика, но и необходимый шаг к свободе и чистоте в жизни. Часто, начав процесс, люди сталкиваются с тем, что уходят в него слишком глубоко, теряя время и энергию. Но важно знать, с чего начать и как быстро...
На профессиональных кухнях не обойтись без разноцветных разделочных досок, каждая из которых предназначена для определенного типа продуктов. Эта система, известная как HACCP, помогает предотвращать...
Собственник парома Эмди Тимергериев объяснил, что переправа оказалась «на паузе» на три дня из-за претензий к нему двух федеральных ведомств.«Судебным решением вынесли, что я должен лицензировать пассажироперевозки. Я отказался. У меня нет такой...
Росстандарт анонсировал введение обновлённого ГОСТа на белый хлеб, который вступит в силу 1 апреля этого года. По информации, размещенной на официальном сайте ведомства, изменения коснутся множества аспектов производства и качества хлебобулочных...
Оросительный канал много десятилетий питал совхозы, затем агропредприятия, попутно поливной водой пользовались десятки домовладений. Старожилы помнят, как здесь купались дети, плавали гуси, а сейчас воды нет даже на экстренный случай.Специалисты...
С приближением зимних праздников растёт желание окунуться в атмосферу тепла и уюта. Чтобы создать незабываемую предновогоднюю атмосферу, редакция НДН.инфо предлагает несколько простых и эффектных рецептов горячих напитков, которые не...
В отдел полиции обратился 42-летний житель одного из поселков Жирновского района. Мужчина сообщил, что у него из гаража пропал набор инструментов и шуруповерт.В результате проведенных оперативно- розыскных мероприятий сотрудниками уголовного розыска...
Соль — это нечто большее, чем просто приправы на нашем столе. Её значение охватывает множество сфер жизни и языка. В контексте природы и человека соль считается символом стойкости и неизменности, но что происходит, когда она теряет...
Борьба с засорами в канализации становится все более актуальной, и главная виновница этой проблемы — влажные салфетки. Эти привычные для многих предметы повседневного обихода часто оказываются на дне унитаза, но такая практика может привести к...
В чем опасность кухонной раковины?
Микробиологи поднимают важный вопрос о том, что кухонная раковина может стать настоящим рассадником микробов, если не уделять ей должного внимания в виде ежедневной дезинтоксикации. Одна из главных причин...
Когда традиционный шашлык перестал удивлять, стоит обратить внимание на старинный рецепт жарки рыбы, который преобразит представление о походной кухне. Использование огня, гладких камней и свежей форели раскрывает её натуральный вкус, который ни...
К реке прикованы взоры волгоградцев – каждый день она разливается все шире. Скоро под воду уйдут берега и деревья – к 20 апреля Волжская ГЭС перейдет на пиковые сбросы. За происходящим на набережной наблюдал наш фотокорреспондент...








































