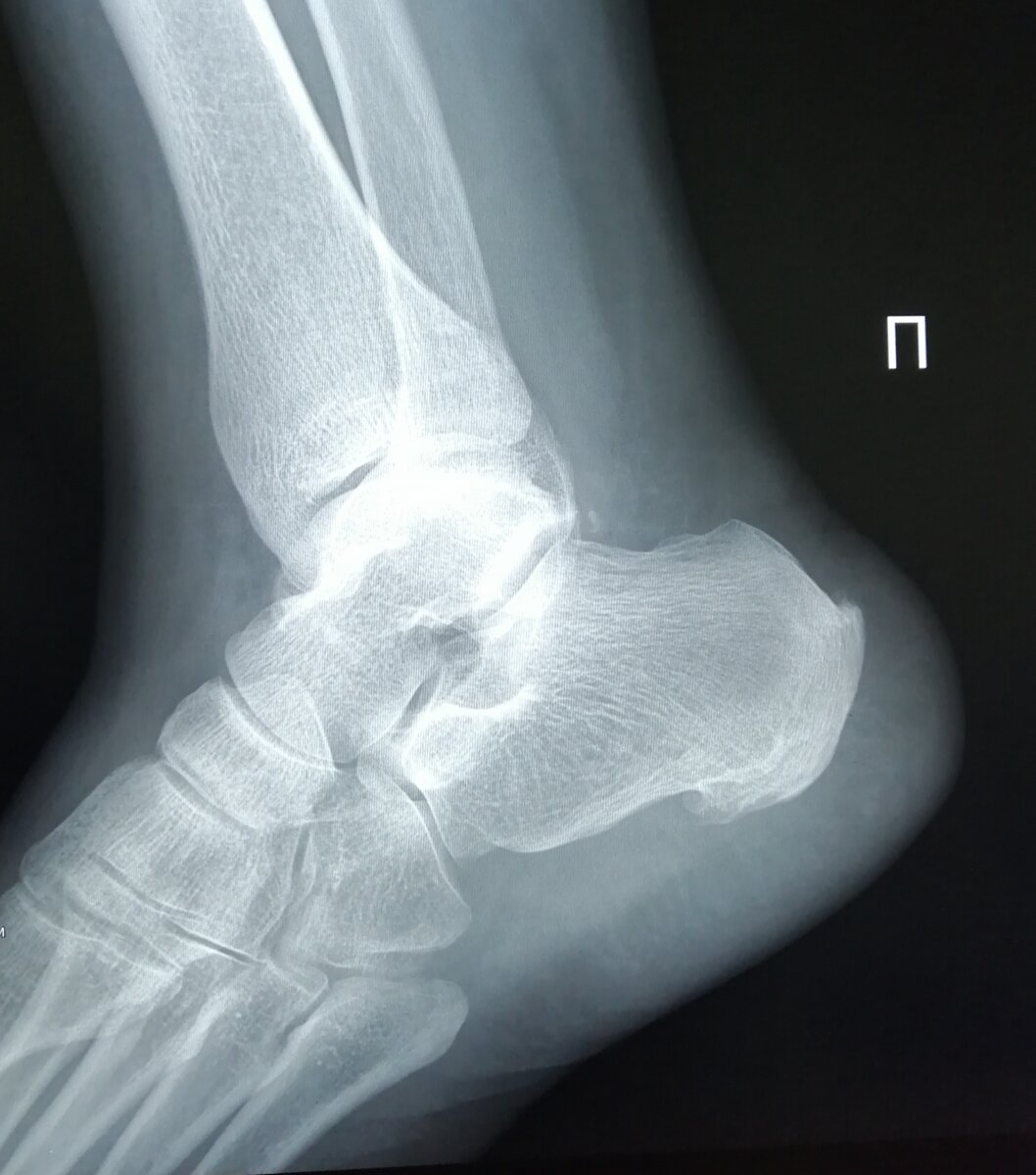
Плантарный фасциит, известный также как пяточная шпора, – это не просто неприятное заболевание, а настоящая проблема, способная ограничить жизнь человека. Врачи отмечают, что причиной боли служит воспаление плантарной фасции, прикрепленной к пяточной кости, исключительно на месте костного нароста. Постоянное давление на фасцию в ходе ходьбы вызывает серьезные болевые ощущения, которые могут напоминать острые колющие ощущения.
История борьбы с болезнью
Первый раз с этой проблемой столкнулись много лет назад, но она отошла сама собой. Однако весной 2022 года на даче боль вернулась с удвоенной силой, и простые дела превратились в пытку. Ортопед подтвердил диагноз, и началась долгая борьба с недугом. Множество процедур, включая ультразвук и ударно-волновую терапию, не приносили желаемого результата.
Эффективные средства и методики
Проблема ухудшалась, так как зависимость от помощи окружающих только усугубляла ситуацию. Тем не менее, удалось найти несколько средств, которые принесли долгожданное облегчение:
Такой системный подход, включающий растирания, гимнастику и специальные ванночки, стал ключом к уходу боли в течение полтора месяца. Параллельно важно носить удобную обувь с небольшой пяткой, чтобы исключить контакт стопы с жесткой поверхностью.
Необходимые рекомендации
При хронической боли нельзя недооценивать необходимость комплексного и длительного лечения. Всегда стоит обратиться к врачу, провести полное обследование и следовать его рекомендациям. Опыт показывает, что средства, упомянутые в статье, могут быть эффективны, но важно помнить: каждый случай уникален, и выбранный подход должен быть системным. В следующей статье будет рассказано о physiотерапевтических процедурах и полезной гимнастике.





























